أخبار العرب والعالم
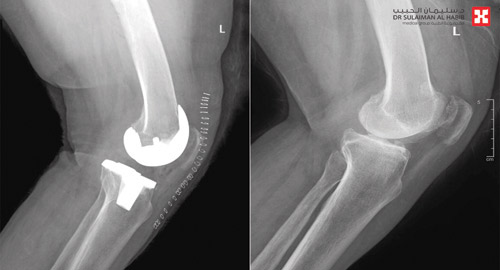
«ستينية» تستعيد القدرة على المشي بمستشفى الدكتور سليمان الحبيب بالسويدي


استعادت سيدة «ستينية» قدرتها على المشي، وتخلصت من الكرسي المتحرك، بعد ساعات من عملية نوعية لاستبدال مفصل ركبة، خضعت لها في مستشفى الدكتور سليمان الحبيب بالسويدي، بتقنية تخفف الآلام وتسرع التشافي، أنهت معاناتها مع الخشونة والاحتكاك الحاد وتلف غضاريف المفاصل، وغيرها من التبعات الحادة. وقال د. رغيد شبو



